Erklärungen für Wörter mit dem Anfangsbuchstaben E in meinen und den Hypertexten von Dr. Ingrid Schütt-Abraham

Roland Heynkes 16.3.2026, CC BY-SA-4.0 DE

If you cannot read German-language texts, you could try a translation into your native language with DeepL.

Navigiere mit den folgenden Links:

HTML-Bio-Glossar meine Biologieseiten Schulseiten Startseite

A B C D E F G H I J K L M N O P Q R S T U V W X Y Z

nach oben Edelgas nennt man ein chemisches Element mit einer vollen äußersten Elektronenschale. Weil eine volle äußerste Elektronenschale der von allen Atomen angestrebte Zustand ist, haben Edelgase keinen Grund, mit anderen Atomen chemisch zu reagieren. Darum fliegen Edelgase als einzige chemische Elemente in Form freier, einzelner Atome durch die Luft. Edelgase reagieren auch nicht mit den Atomen eines Lebewesens und sind deshalb völlig ungiftig.

nach oben Edelgaskonfiguration nennen Chemiker den besonders stabilen Zustand, wenn die Valenzschale eines Atoms vollständig gefüllt ist. Dieser Zustand ist das Ziel der meisten chemischen Reaktionen. Ein Ion mit der Edelgaskonfiguration ist aber kein Edelgas, weil es erstens elektrisch geladen ist und weil zweitens sein Atomkern nicht dem Atomkern eines Edelgases entspricht.

nach oben EDTA = Ethylendiaminotetraessigsäure (ethylenediamine tetra-acetic acid) oder Dinatriumsalz der Edetinsäure

nach oben Edukt, Reaktand oder Reaktant nennt man in Chemie und Biochemie den Ausgangsstoff einer chemischen Reaktion.

nach oben EEG = Elektroenzephalogramm, Ableitung der Hirnstromkurve, die sich aus der Summe der elektrischen Impulse der Nerven ergibt (Dr. Ingrid Schütt-Abraham)

nach oben Effekt = Wirkung, Auswirkung, Folge, Ergebnis, Auswirkung

nach oben Effektor nennt man in der Biologie ein die Reaktionsgeschwindigkeit eines Enzyms beeinflussendes Metall-Ion oder Molekül. Allosterische Effektoren binden außerhalb des aktiven Zentrums an ein Enzym und ändern dadurch dessen Form bzw. räumliche Struktur so, dass das Enzym im Hinblick auf die Katalyse einer chemischen Reaktion aktiver oder inaktiver wird. Entsprechend nennt man einen außerhalb des aktiven Zentrums bindenden, aktivierenden Effektor auch allosterischen Aktivator. Ein außerhalb des aktiven Zentrums bindender, inhibierender Effektor heißt allosterischer Inhibitor.

nach oben efferent = herausführend, hinaustragen (z.B. der Signale von einer Nervenzelle fortführende Neurit, vom Gehirn ausgehende Nervenfasern oder Blut aus Organen herausführende Adern)

nach oben effizient = mit hohem Wirkungsgrad, mit geringem Aufwand eine Wirkung erzielen

nach oben Effizienz steht für das Verhältnis von Ergebnis zu Aufwand.

nach oben EFSA = European Food Safety Authority bzw. Europäische Behörde für Lebensmittelsicherheit, die nach vielen, Anfang 2000 begonnenen Diskussionen, im Januar 2002 zunächst in Brüssel gegründet wurde und einmal 250 MitarbeiterInnen haben soll. Aufgabe der EFSA ist die unabhängige, wissenschaftliche Risikobewertung hinsichtlich aller direkt oder indirekt die Lebensmittelsicherheit beeinflussenden Produktionsbereiche, wobei allerdings auch der Tierschutz berücksichtigt werden soll. Die EFSA soll verantwortlich sein für Risikobewertung, das Sammeln und Analysieren von Daten, Sicherheitsbewertung von industriellen Substanzen und Prozessen, die Suche nach noch unbekannten Risiken, wissenschaftliche Beratung der EU-Kommisson in Lebensmittelsicherheitskrisen, sowie Risikokommunikation. Das Risikomanagement bleibt bei der EU-Kommission, dem Rat der EU-Minister und dem Parlament. Die EFSA besteht aus einem vom Europäischen Rat nach Beratung mit dem EU-Parlament nach politischen Kriterien aus einer Vorschlagliste der EU-Kommission ausgewählten, aber angeblich kompetenten, 14-köpfigen Management Board, welches für jeweils 5 Jahre einen Executive Director wählt, der seinerseits daß Personal der Behörde einstellt. Dem Executive Director zur Seite steht zur Bündelung des Wissens aus den verschiedenen Ländern ein Advisory Forum, in welches jedes Mitgliedsland einen Vertreter seiner nationalen Behörde für Risikobewertung schickt. Verantwortlich für die wissenschaftlichen Risikobewertungen der Behörde sind aber nicht Angestellte der EFSA, sondern unabhängige Fachleute. Diese organisieren sich mit einem Scientific Committee, welches die Arbeit mehrerer Scientific Panels (Expertengremien) koordiniert und zusammenfaßt. Das wissenschaftliche Kommitee besteht aus den Vorsitzenden der Expertengremien und 6 Experten, die keinem der Expertengremien angehören. Geplant sind zunächst 8 Expertengremien (Panel on food additives, flavourings, processing aids and materials in contact with food, Panel on additives and products or substances used in animal feed, Panel on plant health, plant protection products and their residues, Panel on genetically modified organisms, Panel on dietetic products, nutrition and allergies, Panel on biological hazards (including TSE/BSE issues), Panel on contaminants in the food chain, Panel on animal health and welfare).

nach oben EHEC ist die Abkürzung für Enterohämorrhagische Escherichia coli. Das sind Verotoxin bildende Stämme des Darmbakteriums Escherichia coli (E. coli). Enterohämorrhagisch bedeutet, dass das Gift Darm-Blutungen verursachen kann.

nach oben Ei nennt man in der Biologie einen von Zwittern oder weiblichen Lebewesen produzierten, von einer Hülle umgebenen und mit Nährstoffen gefüllten Fortpflanzungsbehälter, in dem sich eine unbefruchtete Eizelle befinden kann. Im Falle einer erfolgreichen Befruchtung enthält das Ei eine Zygote oder schon einen Embryo.

Die Eiche
Rotbuchenwald Stieleichenblätter"
Eiche nennt man einen sehr knorrigen und bis zu 1000 Jahre alt werdenden Baum mit rauher und rissiger Borke und tief gelappten Blättern, der zur Not auch auf trockenen oder Nährstoff-armen Böden wachsen kann. Weil die Krone der Eiche viel mehr Licht als die einer Rotbuche durchlässt, wachsen unter ihr viele Sträucher und Kräuter.
Bilder aus der Creative Commons

nach oben Eichenwald nennt man einen von Eichen dominierten Wald. Eichenwälder gibt es von Natur aus nur da, wo die Rotbuche nicht wachsen kann, weil ihr der Boden zu trocken oder nährstoffarm ist.

Den Eichen-Hainbuchen-Wald dominieren Eichen und Hainbuchen, die größere Temperatur- und Feuchtigkeitsschwankungen als die Rotbuche ertragen.

nach oben Eigenschaft heißt alles, womit man eine Sache oder ein Lebewesen beschreiben kann. Eigenschaften sind zum Beispiel die Farben, die Masse, die Größe, der Geschmack oder der Geruch eines Nahrungsmittels.

Eileiter, Ovidukt oder lateinisch Tuba uterina bzw. Tuba Fallopii heißt die "Röhre", die in weiblichen Wirbeltieren beim Eisprung das Ei auffängt und in die Gebärmutter geleitet. Zumindest bei Menschen erfolgt die Befruchtung der Eizelle im Eileiter. Unten zeigt der Querschnitt durch einen menschlichen Eileiter, dass die Röhre alles andere als hohl ist. Das Innere des Eileiters sieht aus wie ein Labyrinth.
menschlicher Eileiter
MD Ed Uthman, CC BY-SA 2.0

nach oben Einfachbindung nennt man in der Chemie eine aus nur einer einzigen Atombindung bzw. nur einem Bindungselektronenpaar bestehende chemische Bindung zwischen zwei Atomen. Im Gegensatz zu Doppelbindungen oder Dreifachbindungen können sich die Molekülteile an beiden Seiten des Bindungselektronenpaars drehen. Das ermöglicht vielen Molekülen zahlreiche Konformationen bzw. Konformationsisomere.

nach oben Einfachzucker ist das deutsche Wort für den Fachbegriff Monosaccharid.

nach oben Eingeweide oder Viszera nennt man die inneren Organe. Damit meinen Laien (Nichmediziner) oft nur die Baucheingeweide, also die Organe in der Bauchhöhle. Für Mediziner (Ärzte) gehören aber mindestens auch die Organe der Brusthöhle dazu. Im weiteren Sinne kann man zusätzlich den Inhalt des Schädels meinen.

nach oben Einhang = Platz in einer Geflügelschlachterei, an dem die Tiere ins Schlachtband gehängt werden (Dr. Ingrid Schütt-Abraham)

nach oben Einhäusige Blütenpflanzen haben männliche und weibliche Blüten.

nach oben Eintagsküken = Geflügel im Alter von bis zu 60 Stunden (Dr. Ingrid Schütt-Abraham)

nach oben Einzeller sind Lebewesen, die aus nur einer Zelle bestehen.

nach oben Einzelstrang-bindendes Protein oder Single-strand binding protein nennen Biologen die Proteine, die an DNA-Einzelstränge binden, damit diese nicht sofort wieder DNA-Doppelhelices bilden. Dabei wird ein Bereich von etwa 60 Nukleotiden abgedeckt.

nach oben Eiszeit nennt man in den Naturwissenschaften ein Erdzeitalter, in dem einer oder beide Pole vereist sind. Wer meint, die letzte Eiszeit sei längst vorbei, der verwechselt Eiszeit mit Kaltzeit innerhalb einer Eiszeit. Aus Sicht der Naturwissenschaften leben wir heute in einer Eiszeit, weil Nord- und Südpol vereist sind. Aber innerhalb dieser Eiszeit leben wir in einer Warmzeit.

nach oben Eiweiß ist der missverständliche deutsche Name für Protein und für das Weiße im Hühner-Ei.

nach oben Eiweißstoff ist nur ein anderes Wort für Eiweiß oder Protein.

nach oben Eizelle nennt man die weibliche Geschlechtszelle.

nach oben Ejakulat nennt man Sekrete, die beim männlichen und manchmal auch beim weiblichen Orgasmus austreten.

nach oben Ejakulation ist der Fachbegriff für den Samenerguss oder allgemeiner das auch bei Frauen mögliche stoßweise Freisetzen eines Sekrets auf dem Höhepunkt der sexuellen Erregung.

nach oben Ekchymose = spritzerartige Blutung (Dr. Ingrid Schütt-Abraham)

nach oben Ektoderm heißt das obere oder erste Keimblatt des Embryoblasten. Es ist die nach der Gastrulation außen liegende Zellschicht. Das primitive Ektoderm bringt durch den Vorgang der Neurulation (dem Beginn der Entwicklung des Nervensystems) das embryonale Mesoderm hervor (Primitivstreifen). Aus dem ektodermen Keimblatt bilden sich Haut (Cutis), Nervensystem, Sinnesorgane und Zähne.

nach oben Ektosymbiose heißt eine Symbiose, wenn nicht ein Symbiont im anderen lebt.

nach oben Ektotherm nennen Biologen Lebewesen, die nicht versuchen, ihre Körpertemperatur durch zusätzliche Stoffwechsel-Aktivitäten oder andere Regelmechanismen innerhalb ihrer Körper zu beeinflussen.

nach oben elektrisch = auf der Kraft der Anziehung oder Abstoßung elektrisch geladener Teilchen beruhend bzw. dadurch zustande kommend, Elektrizität betreffend, erzeugend, führend oder speichernd oder mit Elektrizität funktionierend

nach oben Elektrizität nennt man alle Natur-Phänomene, die darauf beruhen bzw. dadurch zustande kommen, dass sich elektrisch geladene Teilchen anziehen oder abstoßen. Man erkennt Elektrizität daran, dass elektrische Ladungen auftreten oder dass ein elektrischer Strom geladener Teilchen fließt.

nach oben Elektrobetäubung = Betäubungsverfahren, bei dem elektrischer Strom durch das Gehirn eines Schlachttieres geleitet wird, um es durch das Auslösen eines epileptischen Anfalls bewusstlos zu machen (Dr. Ingrid Schütt-Abraham)

nach oben Elektrode nennt man einen meist metallischen elektrischen Leiter zur Vermittlung des Überganges elektrischen Stromes in ein anderes Leitermedium (z.B. Flüssigkeit, Gas). Bei der Elektrobetäubung sind es blanke Metallteile an einer Betäubungszange oder -gabel, über die der elektrische Strom durch das Tier geleitet wird, bzw. die blanken Metallteile, über die der elektrische Strom an das Wasser abgegeben wird.

nach oben Elektrodenfläche = bei der Elektrobetäubung im Wasserbad die Fläche des blanken Metallteiles, über die der elektrische Strom an das Wasser abgegeben wird (Dr. Ingrid Schütt-Abraham)

nach oben Elektroimmobilisation = Verfahren, bei dem das betäubte Tier mit schwachen elektrischen Strömen durchströmt wird, um es reflexlos zu machen (Dr. Ingrid Schütt-Abraham)

nach oben elektromagnetisch = den Elektromagnetismus betreffend bzw. darauf beruhend

nach oben Elektromagnetismus im engeren Sinne nennt man den Effekt, dass sich um jeden stromdurchflossenen Leiter aufgrund der bewegten elektrischen Ladungen ein Magnetfeld bildet. Dabei liegen um den elektrischen Leiter herum wie Kreise die Feldlinien des Magnetfeldes, deren Richtung von der Stromrichtung bestimmt werden.
Magnetismus, Elektromagnetismus und elektromagnetische Felder (einschließlich elektromagnetische Wellen wie Licht) haben alle ihre gemeinsame Ursache in der elektromagnetischen Wechselwirkung, einer der vier Grundkräfte der Physik.

nach oben Elektronen nennt man die elektrisch negativ geladenen Teilchen, die in der nahezu leeren Hülle eines Atoms je nach Betrachtungsweise herum fliegen oder als Wellen herum stehen.

nach oben elektronegativ = bestrebt, ein Bindungselektronenpaar zu sich zu ziehen

nach oben Elektronegativität nennt man die Tendenz eines chemischen Elements, in Molekülen die Bindungselektronen anzuziehen. Sie nimmt im Periodensystem von links nach rechts sowie von unten nach oben zu, weil die Anziehungskraft des Atomkerns mit der Zahl der darin enthaltenen Protonen zunimmt und umso stärker auf die Elektronen wirkt, je geringer deren Entfernung und Abschirmung vom Atomkern ist. Die Valenzelektronen der schwereren chemischen Elemente in den höheren Perioden befinden sich in weiter vom Atomkern entfernten äußeren Elektronenschalen und werden daher schwächer angezogen. Außerdem liegen bei den schweren chemischen Elementen höherer Perioden zwischen dem Atomkern und den Valenzelektronen mehr innere Elektronenschalen, welche deren gegenseitige Anziehung durch ihre negative Ladung abschirmen. Innerhalb einer Periode allerdings halten sich die Valenzelektronen aller chemischen Elemente in der selben Elektronenschale auf, sodass die Anziehungskraft des Atomkerns von Element zu Element nicht abnimmt. Sie ist im Gegenteil sogar aufgrund zweier Effekte stärker, wenn ein chemisches Element in seinem Atomkern ein Proton mehr als ein anderes Atom derselben Periode besitzt. Zum einen vergrößert einfach jedes zusätzliche Proton aufgrund seiner positiven Ladung die Anziehungskraft des Atomkerns auf alle Elektronen aller Elektronenschalen. Zusätzlich bewirkt aber eine vergrößerte Anziehungskraft des Atomkerns, dass alle Elektronenschalen näher an den Atomkern heran gezogen werden, was wiederum die auf jedes Elektron wirkende Anziehungskraft zusätzlich erhöht.

nach oben Elektronenakzeptor oder Elektronenempfänger nennt man ein Atom, Molekül oder Ion, das fähig ist, mindestens ein Elektron aufzunehmen.

nach oben Elektronendonor oder Elektronenspender nennt man ein Atom, Molekül oder Ion, das fähig ist, mindestens ein Elektron abzugeben.

nach oben Elektronengas nennt man die Summe der laut einer vereinfachenden Vorstellung von der metallischen Bindung frei zwischen den Metall-Ionen fließenden Elektronen.

nach oben Elektronenmikroskop nennt man ein Mikroskop, welches das Objekt mit Elektronen anstatt mit Licht untersucht. Gegenüber Licht haben Elektronen den Vorteil einer sehr viel kürzeren Wellenlänge, die zu einer etwa 500-fach größeren Auflösung (bis zu 1.000.000-fach anstatt bis zu 2.000-fach) führt. Im Prinzip besteht ein Elektronenmikroskop aus einer langen, dicken Röhre, aus der man die Luft heraus pumpt, damit die Elektronen nicht mit den Molekülen der Luft zusammen prallen. Am einen Ende der Röhre befindet sich eine sogenannte Elektronenkanone. Sie besteht aus einer kleinen Röhre mit einem winzigen Loch an einem Ende, aus dem der Elektronenstrahl heraus kommt. In der kleinen Röhre gibt es gegenüber vom Loch eine Elektronen-Quelle, die Elektronen abgibt bzw. abstrahlt. Das kann ein einfacher Draht aus dem Metall Wolfram sein, welches von allen reinen Metallen den höchsten Schmelzpunkt und den zweithöchsten Siedepunkt hat und deshalb gerne in Glühlampen verwendet wurde. Auf der anderen Seite der kleinen Röhre befindet sich rund um das Loch herum eine Anode, welche mit ihrer sehr stark positiven elektrische Ladung die Elektronen anzieht und so dafür sorgt, dass ein Teil der Elektronen mit großer Geschwindigkeit durch das Loch in die große Röhre fliegt. Während ein Lichtmikroskop das Licht mit Linsen aus Glas bündelt, übernehmen diese Aufgabe im Elektronenmikroskop sogenannte Elektronenlinsen. Meistens sind das starke Magnete, weil die Elektronen das Glas nicht durchdringen könnten, von Magneten aber abgelenkt werden. So wird ein konzentrierter Elektronenstrahl auf das Objekt geschossen. Die Elektronen prallen vom Objekt ab oder sie durchdringen es oder sie schlagen andere Elektronen aus ihm heraus. In jedem Fall werden vom Objekt kommende Elektronen von sogenannten Detektoren registriert und daraus wird dann ein Bild berechnet.
Es gibt verschiedene Arten von Elektronenmikroskopen. Man kann die mit einem feinen Strahl Punkt für Punkt eines Objekts abtastende Rasterelektronenmikroskope von Ruhebildmikroskopen unterscheiden, die mit einem breiter gestreuten Strahl eine größere Fläche auf einmal untersuchen. Man kann auch extrem dünn geschnittene Objekte durchleuchtende Transmissionselektronenmikroskope von solchen unterscheiden, die von dickeren Objekten abprallende oder aus solchen heraus geschlagene, sogenannte sekundäre Elektronen auffangen und daraus ein Bild errechnen. Oft funktioniert der Detektor so, dass eine positive Ladung einfach alle vom Objekt abgestrahlten Elektronen ansaugt, damit ihre Zahl im Detektor gezählt und in die Helligkeit eines Bildpunktes umgerechnet werden kann.

nach oben elektronenmikroskopisch mittels Elektronenmikroskop

nach oben Elektronenpaar nennt man ein mit zwei Elektronen voll besetztes Orbital, wobei normalerweise nur Valenzorbitale, also die äußersten Orbitale interessieren. Man unterscheidet zwischen allein zu einem Atom gehörenden freien Elektronenpaaren und Bindungselektronenpaaren zwischen zwei kovalent verbundenen Atomen.

nach oben Elektronenschalen eines Atoms sind unterschiedliche Energieniveaus, auf denen sich seine Elektronen befinden. Früher stellte man sich vor, Elektronen kreisten wie Planeten auf ihren Schalen um ihre Atomkerne. Heute stellen wir uns vor, dass die Elektronen auf unterschiedlichen Energieniveaus als stehende Wellen ihre Aufenthaltswahrscheinlichkeitsräume (Orbitale) füllen.

nach oben elektrostatisch = eine ruhende elektrische Ladung betreffend

nach oben Elektrotötung = Verfahren, bei dem das Tier erst mit einem Stromstoss durch das Gehirn betäubt und anschließend mit einem Stromstoss durch das Herz getötet wird. Bei der Elektrotötung von Geflügel im Wasserbadbetäuber erfolgt die Durchströmung von Gehirn und Herz gleichzeitig. (Dr. Ingrid Schütt-Abraham)

nach oben Element ist ein schwammiger Begriff, der je nach Kontext ganz unterschiedliche Bedeutungen hat. Seit der Antike unterschied man die Elemente Wasser, Erde, Feuer und Luft. Mit der Entwicklung der Chemie bekam dieser Begriff ab dem dem 17. Jahrhundert die Bedeutung eines chemischen Elementes. Wir benutzen den Begriff Element in der Biologie aber auch im Sinne eines Bauteils oder einer Komponente eines Systems.

nach oben elementar = grundlegend, bedeutend, wesentlich, entscheidend, grundsätzlich, maßgebend, maßgeblich, fundamental oder bekannt, einfach, geläufig, simpel, unkompliziert oder naturhaft, ungebändigt, ungestüm, naturverbunden, stürmisch, unverfälscht, ursprünglich, urtümlich, urwüchsig oder (in der Chemie) als reines Element vorkommend

nach oben Elementarladung heißt die kleinste frei existierende elektrische Ladungsmenge. Sie entspricht den elektrischen Ladungen eines Protons oder Elektrons.

nach oben Elementarteilchen oder Fundamentalteilchen nennt man die kleinsten und deshalb unteilbaren Teilchen, aus denen unsere Welt besteht. Etwa 450 Jahre vor Christus meinte der griechische Philosoph Demokrit, dass die Materie aus unteilbaren kleinsten Teilchen bestehen müsse. Er nannte sie Atome. Als Chemiker glaubten, die unteilbaren kleinsten Teilchen gefunden zu haben, nannten sie diese Atome. Später stellt man fest, dass die Atome gar nicht unteilbar sind, behielt den Namen aber bei. Als Elementarteilchen bezeichnete man nun aber die Elektronen, Neutronen und Protonen. Dann stellten Teilchenphysiker fest, dass Neutronen und Protonen aus noch kleineren Teilchen bestanden und dass es einen ganzen Teilchenzoo gibt. Und solange man nicht noch kleinere Teilchen findet oder vermutet, bezeichner man aktuell Quarks, Leptonen, Photonen, Gluonen, Bosonen und das Higgs-Boson als Elementarteilchen.

nach oben Eliminierung heißt die Beseitigung, Entfernung oder Vernichtung von etwas oder jemandem.

nach oben ELISA = englische Abkürzung für enzyme-linked immuno sorbent assay. An eine Oberfläche gebundene Moleküle (meist Antikörper) binden die nachzuweisenden Moleküle und anschließend binden an die gebundenen Moleküle mit jeweils einem Enzym verbundene Antikörper. Das über den Antikörper an das nachzuweisende Molekül gebundene Enzym makiert dieses durch eine chemische Reaktion, die einen Farbstoff erzeugt.

nach oben Elongation als sogenannter Fachbegriff der Genetik und Molekularbiologie ist in Wirklichkeit gar kein richtiger Fachbegriff, sondern das in vielen biologischen Zusammenhängen einfach aus der englischen Sprache übernommene Wort Elongation für Ausdehnung oder Verlängerung. Benutzt wird dieses Pseudofachwort beispielsweise für die Verlängerungsphasen bei Replikation, Transkription und Translation.

nach oben Embolie nennt man das plötzliche Verstopfen eines Blutgefäßes durch einen zu dicken Klumpen.

nach oben Embolus = im Blutstrom mitgeführtes Gewebsteilchen (auch Fremdkörper, Thrombus oder Gasblase), das bei Gefäßverengungen stecken bleibt und so zum Verschluss des Gefäßes führt (Dr. Ingrid Schütt-Abraham)

nach oben Embryo nennt man ein junges, vielzelliges Lebewesen ab der ersten Zellteilung der befruchteten Eizelle, solange es sich noch im Körper der Mutter, in einem Ei oder in einem Pflanzensamen befindet. Bei Menschen sprechen wir nur bis zum Abschluss der Organentwicklung in der 8. Schwangerschaftswoche von einem Embryo und danach von einem im Grunde nur noch wachsenden Fötus oder Fetus, obwohl auch ein Fötus noch ein Embryo ist. Bei Pflanzen spricht man bis zur Keimung des Samens von einem Embryo.

nach oben Embryoblast heißt der Teil der Blastozyste, aus dem sich der eigentliche Embryo entwickelt.

nach oben Embryogenese oder Embryonalentwicklung bedeutet Entwicklung eines Embryos, bis aus dem Embryo ein Fötus wird.

nach oben embryonal = zum Embryo gehörend, ihn betreffend oder von ihm ausgehend

nach oben Eminentia medialis = am Boden der Rautengrube des Gehirns gelegener flacher Längswulst (Dr. Ingrid Schütt-Abraham)

nach oben Emission bedeutet Ausschüttung, Ausstoß oder Abgabe an die Umgebung.

nach oben emitieren = etwas an die Umgebung abgeben

nach oben Empathie oder Einfühlungsvermögen heißt die Fähigkeit und Bereitschaft, die Empfindungen, Emotionen, Gedanken, Motive und Persönlichkeitsmerkmale anderer Tiere zu erkennen, zu verstehen und nachzuempfinden.

nach oben Empfindung ist ein Begriff, über dessen genaue Bedeutung sich seit Jahrhunderten Philosophen, Pschologen und Naturwissenschaftler streiten. Im heutigen Sprachgebrauch kann damit eine Wahrnehmung gemeint sein (z.B.: Auch Tiere können Schmerzen empfinden.), ein Gefühl (z.B.: Empfindung von Trauer oder Liebe) oder eine Bewertung (z.B.: Jemand empfindet sich als zu dick.). Hirnforscher bezeichnen den ersten, noch unbewusste Empfang eines Signals von einem sensorischen Nerven als Empfindung und damit als Vorstufe einer Wahrnehmung, die dann schon bewusst ist.

nach oben empirisch = durch Beobachtung oder experimentell gewonnen

nach oben emulgieren = größere Klumpen, wasserunlöslicher Stoffe in feinste Tröpfchen auflösen und durch Ummantelung wasserlöslich machen

nach oben Emulsion = Mischung einander abstoßender und daher nicht mischbarer Phasen (z.B. Wasser und Fett) durch Zerlegung beider in feinste Tröpfchen infolge Verwirbelung (Aufschlagen). Emulsionen neigen bei Stehenlassen zur Entmischung, sofern keine Stabilisatoren (z.B. Lecithin)zugegeben werden. Zur intrazerebralen Inokulation wird in der TSE-Forschung das fettreiche Gehirn mit Wasser verquirlt, um eine Gehirnemulsion in gewünschter Verdünnungsstufe herzustellen. (Dr. Ingrid Schütt-Abraham)

5'-Ende nennen Genetiker und Molekularbiologen das Ende eines Nukleotids, Oligonukleotids oder DNA-Einzelstranges, an dem das C-Atom Nummer 5 eine bis drei freie Phosphat-Gruppen trägt, während das C-Atom Nummer 3 dieses Nukleotids über ein Sauerstoff-Atom mit dem nächsten Nukleotid verbunden ist.
Numerierung der C-Atome in Nukleotiden
3'-Ende nennen Genetiker und Molekularbiologen das Ende eines Nukleotids, Oligonukleotids oder DNA-Einzelstranges, an dem das C-Atom Nummer 3 eine freie Hydroxylgruppe trägt, an die ein weiteres Nukleotid über die Phosphat-Gruppe an seinem C-Atom Nummer 5 gebunden werden kann.
Enantiomere sind zwei Stereoisomere, deren Strukturen sich wie Bild und Spiegelbild ähneln.
Schema zweier Enantiomere
NASA/anonym, Public domain
Enantiomerie oder Spiegelbildisomerie heißt die Variante der Stereoisomerie, bei welcher die beiden Enantiomere sich wie Bild und Spiegelbild gegenüber stehen. Das folgende Schema ordnet die Enantiomerie in die unterschiedlichen Arten von Isomerien ein:
Schema der Isomerien

nach oben Encephalon nennt man das gesamte Gehirn.

nach oben endemisch = nur in einem begrenzten Gebiet vorkommend

nach oben Endergon oder endergonisch nennt man eine chemische Reaktion, wenn sie thermodynamisch ungünstig ist. Das bedeutet, dass die freie Energie der Produkte höher ist als die freie Energie der Edukte, dass deshalb die Hinreaktion von den Edukten zu den Produkten weniger leicht abläuft als die Rückreaktion und dass darum im Gleichgewichtszustand weniger Produkte als Edukte vorhanden sind. Den Begriff endergon sollte man nicht mit dem Begriff endotherm verwechseln.

nach oben Endknöpfchen heißen die Verdickungen an den Enden der Axone und anderen (hüllenlosen) Neuriten.

nach oben Endocytose oder Endozytose nennt man die Aufnahme von Molekülen oder größeren Teilchen aus dem extrazellulären Raum durch die Zellmembran in das Innere einer Zelle, falls dies durch Einstülpung und Abschnürung der Zellmembran geschieht. Dadurch entsteht ein Endosom genanntes Vesikel, das oft später mit einem primären zu einem sekundären Lysosom verschmilzt, um den Inhalt des Endosoms zu verdauen.
Gleichzeitig entfernt die Endozytose ständig ungefähr ebenso viele Lipide und Membranproteine aus der Zellmembran, wie durch die Exozytose nachgeliefert werden. Dieses Gleichgewicht zwischen Exozytose und Endozytose sorgt für ein Fließgleichwicht, welches die Zellmembran unverändert erscheinen lässt, obwohl ihre Bestandteile ständig ausgetauscht werden.
Man unterscheidet bei den Endocytosen drei Varianten: die Phagocytose (Fressen), die Pinozytose (Trinken) und die Rezeptor-vermittelte Endozytose, die selektiv ganz bestimmte Teilchen aus einem Gemisch vieler verschiedener Teilchen heraus fischt.

nach oben Entoderm oder Endoderm heißt das innere der drei Keimblätter (Entoderm, Mesoderm und Ektoderm) des Embryoblasten nach der Gastrulation.

nach oben endodermal = das Endoderm betreffend oder von diesem abstammend

nach oben endogenes virales Element heißt eine in das Genom einer Zelle integrierte DNA-Sequenz viralen Ursprungs. Das kann ein Provirus sein, oder eine vor Millionen Jahren von einem Virus zurückgelassene Sequenz, die sich als evolutionär nützlich erwies.

nach oben endokrin = nach innen (endo) auscheidend (Endokrin sind unsere Hormondrüsen, die ihre Hormone nach innen, nämlich ins Blut abgeben.)

nach oben Endolysosom heißt das Ergebnis einer Fusion eines Endosoms mit einem oder mehreren Verdauungsenzyme enthaltenden Lysosomen.

nach oben Endomembransystem = wahrscheinlich durch Membraneinstülpung entstandenes System aus den über Vesikel miteinander kommunizierenden Organellen Zellkern, endoplasmatisches Retikulum, Golgi-Apparat, Endosomen, Lysosomen

nach oben Endometriose heißt eine häufige, gutartige, aber sehr oft schmerzhafte chronische Erkrankung vieler Frauen. Bei ihnen hat sich die normalerweise nur in der Gebärmutter vorkommende Gebärmutterschleimhaut (das Endometrium) auf oher in anderen Organen gebildet. Das Problem ist, dass sich diese an falschen Orten befindlichen Gewebe während des weiblichen Menstruationszyklus wie das Endometrium im Uterus verhalten. Das kann bei jeder Regelblutung zu extremen Schmerzen, Gewebeblutungen und Narbenbildung führen und auf die Dauer sogar unfruchtbar machen. meistens tritt die Endometriose im unteren Bauch- bzw. Beckenraum auf, aber letztlich können alle Organe betroffen sein. Eine hormonelle Hemmung des Menstruationszyklus z.B. durch eine Antibabypille kann helfen, aber eine operative Entfernung der an falscher Stelle gebildeten Gewebe ist die Therapie der ersten Wahl.

nach oben Endometrium = Schleimhaut der Gebärmutterinnenwand

nach oben Endomysium heißt das eine einzelne Muskelfaser umhüllende Bindegewebe, welches heute zu den Faszien gezählt wird.

nach oben Endoparasit nennt man einen Parasiten, der in seinem Wirt bzw. seiner Wirtszelle lebt.

nach oben endoplasmatisch = im Plasma

Endoplasmatisches Retikulum (ER) heißt ein für alle noch teilungsfähigen oder wenigstens noch Eiweiße und Membranen produzierenden eukaryotischen Zellen typisches Organell. Es besteht aus einem Netzwerk röhrenförmiger Membranen mit Zisternen genannten, großen, abgeflachten Aussackungen. Blausen Medical Communications zeigt eine schöne Animation des ER. Es dient der Produktion und dem Transport wichtiger Stoffe innerhalb der Zelle. Man unterscheidet ein nur in einigen Zellen eindeutig erkennbares und unter anderem der Calciumspeicherung (Muskelzellen), der Steroidhormon-, Lipid- und Glycogen-Synthese, der Entgiftung, dem Hormon-Transport und der Glycogen-Spaltung dienendes, multifunktionelles glattes endoplasmatisches Retikulum vom dem mit der äußeren Zellkernhülle verbundenen rauhen ER.
Das raue endoplasmatische Retikulum ist der mit der äußeren Zellkernhülle verbundene rauhe Anteil des endoplasmatischen Retikulums (ER). Dieses raue ER produziert ständig neue Membran. Deshalb kann es nach jeder Zellkern-Teilung eine neue Zellkernhülle bilden. Gesteuert durch Signalsequenzen an den zuerst gebildeten Aminotermini gerade entstehender Membran- oder Exportproteine binden Ribosomen an das raue endoplasmatische Retikulum. Deshalb wirkt es auf der dem Cytoplasma zugewandten Seite rauh. Dann synthetisieren die Ribosomen die Polypeptide durch sich temporär öffnende Membran-Poren direkt in die Zisternen des ER hinein. Dort bilden sich dann mit Hilfe von Chaperonen die Tertiärstrukturen der Proteine, die für die Ausscheidung aus der Zelle oder eine Funktion auf der Zellmembranaußenseite bestimmt sind.
Im ER bilden sich Disulfidbrücken zwischen Cysteinseitenketten und durch die auf der Innenseite der ER-Membran verankerte Oligosaccharyltransferase werden viele Proteine im ER auch kovalent über die Aminogruppe einer Asparginseitenkette mit vorgefertigten kurzen, verzweigten Oligosacchariden verknüpft. Auch Quartärstrukturen aus mehreren Polypeptiden bilden sich hier. Aus dem ER exportiert werden nur korrekt gefaltete Proteine, die außerdem an ihren Carboxytermini keine aus 4 Aminosäuren bestehende Rückhaltesequenz aufweisen. Vom glatten endoplasmatischen Retikulum schnüren sich Vesikel ab, die danach zum Golgi-Apparat transportiert werden. Die Membranen der Zelle entstehen hauptsächlich im ER.
Endoplasmatisches Retikulum
Blausen Medical Communications, Inc., CC BY 3.0

nach oben Endoskopie nennt man in Biologie und Medizin eine Untersuchung von Organen und Hohlräumen des Körpers mit Hilfe einer sehr kleinen Kamera am Ende eines Rohres. Die Endoskopie kann auch eine Behandlung mit Hilfe winziger Instrumente wie Pinzetten, Scheren oder Schlingen beeinhalten.

nach oben Endosomen nennt man in der Zellbiologie größere Membranbläschen (Vesikel), welche direkt oder indirekt durch Abschnürung (Endozytose) von der Zellmembran entstehen. Man könnte diese Organellen auch Verdauungsorgane der Zelle nennen, die Verdaubares von außerhalb der Zelle enthalten. Bei der Phagozytose spricht man unmittelbar nach der Abschnürung von der Zellmembran von einem Endosom, bei der Rezeptor-vermittelten Endozytose erst nach dem Verschmelzen (Fusion) mehrerer von ihren Clathrin-Hüllen befreiter Vesikel. Zu richtigen Verdauungsorganellen der Zelle werden Endosomen aber erst durch die Verschmelzung mit primären Lysosomen, die verschiedene Verdauungs-Enzyme enthalten. Bevor die jungen/frühen Endosomen mit primären Lysosom zu sekundären Lysosom fusionieren, sortieren sie einen Teil der eingeschlossenen Makromoleküle zur Wiederverwendung aus. Gelegentlich nennt man die indirekt durch Rezeptor-vermittelte Endozytose gebildeten Endosomen auch Rezeptosomen.

nach oben Endospore heißt eine Spore, die innerhalb einer Zelle oder zumindest innerhalb eines Organismus entsteht.

nach oben Endosymbiont nennen Biologen den kleineren Partner einer Endosymbiose, der im größeren Partner lebt. Die bedeutendsten Endosymbionten sind die Chloroplasten in Algen und Pflanzen sowie die Mitochondrien fast aller Eukaryoten.

nach oben Endosymbiontentheorie nennt man die inzwischen weitestgehend akzeptierte Theorie, nach der es sich bei den Mitochondrien um Nachfahren von Bakterien handelt, die sich vor Milliarden Jahren von Beute oder Krankheitserregern einer Archäen-Spezies zu deren Endosymbionten entwickelten. Man erkennt das daran, dass sie einen eigenen Bauplan besitzen und sich durch Zellteilung vermehren. Die heute anscheinend nur noch innerhalb eukaryotischer Zellen lebensfähigen Mitochondrien bekommen vom Archäen-Partner Nährstoffe und Schutz vor Fressfeinden und liefern dafür so große Mengen des universell verwendbaren Trägers chemische Energie namens ATP, dass verglichen Archäen und Bakterien riesige eukaryotische Zellen entstehen konnten. Das Bakterium war nämlich in der Lage, Sauerstoff für eine besonders effektive Verdauung von Nahrung zu nutzen. Inzwischen hat das Bakterium einen Teil seiner nicht mehr benötigten Gene verloren, weil es von der Zelle versorgt wird.

nach oben Endosymbiose nennen Biologen eine Symbiose zwischen einer großen Zelle und einem viel kleineren, in ihr lebenden Lebewesen. Die ersten noch einzelligen Eukaryoten entstanden höchst wahrscheinlich als Endosymbiose zwischen zwei Prokaryoten. Die große Zelle könnte eine Archäe gewesen sein. Die kleine war ein Bakterium. Mit der Zeit entwickelten sich aus den kleinen Endosymbionten die heutigen Organellen. Das ist in der Evolution der heutigen Eukaryoten mehrfach passiert und es passiert noch heute. Zum Beispiel kann man heute beobachten, wie große Amöben kleine Cyanobakterien aufnehmen, ohne sie zu verdauen. Durch Vergleiche der Genome konnte gezeigt werden, dass sehr wahrscheinlich Chloroplasten von Cyanobakterien und Mitochondrien von Sauerstoff-liebenden Bakterien abstammen.

nach oben Endothel nennt man die aus nur einer Zelllage bestehende Innenauskleidung der Lymph- und Blutgefäße einschließlich der jeweiligen Kapillare.

nach oben Endotherm heißt ein Tier, wenn es seine Körper-Temperatur (von innen heraus) selbst reguliert. In der Chemie nennt man chemische Reaktionen endotherm, wenn sie bei konstantem Druck und Volumen insgesamt Energie "verbrauchen" oder genauer gesagt von außen zugeführte Energie in chemischen Bindungen als chemische Energie speichern. Während einer endothermen chemischen Reaktion wird der Anteil der Teilchen mit ausreichender Aktivierungsenergie reduziert. Dadurch bremsen endotherme chemische Reaktionen sich selber ab. Endotherme chemische Reaktionen können thermodynamisch günstig (exergonisch) oder thermodynamisch ungünstig (endergonisch) sein, weil die Änderung (Δ) der freien Energie (G) nicht nur von der Änderung der inneren Energien (ΔH), sondern auch von der Änderung der Entropie (ΔS) abhängt (ΔG = ΔH - T · ΔS). Bei negativen ΔG spricht man von exergonen, bei positiven ΔG von endergonen chemischen Reaktionen.

nach oben Endprodukt heißt ein Produkt am Ende eines mehrstufigen Produktionsprozesses. In der Biochemie, Stoffwechsel-Physiologie und Zellbiologie ist damit normalerweise ein Stoffwechselendprodukt gemeint.

nach oben Endprodukthemmung heißt in der Biochemie eine Form der Enzym-Regulation, bei welcher das Produkt einer Reihe von Enzym-Reaktionen als allosterischer Hemmstoff für ein Enzym am Anfang der Kette. Das ein Produkt seine eigene Produktion hemmt, verhindert eine Überproduktion. Hemmt ein Stoffwechselendprodukt ein Enzym am Anfang der seiner Produktion dienenden Enzym-Kette, dann verhindert es die überflüssige Produktion von Zwischenprodukten. Man sollte von einer allosterischen Endprodukthemmung sprechen, denn gelegentlich wird der Begriff Endprodukthemmung auch als Synonym für Endproduktrepression gebraucht, die aber ganz anders funktioniert. Bei der Endproduktrepression unterdückt das Stoffwechselendprodukt die Proteinbiosynthese eines Enzyms am Anfang einer Kette von Enzym-Reaktionen zur Bildung des Endproduktes.

nach oben Endproduktrepression heißt in der Biochemie eine Form der Enzym-Regulation, bei welcher das Stoffwechselendprodukt einer Reihe von Enzym-Reaktionen die Proteinbiosynthese eines Enzyms am Anfang der Kette von Enzym-Reaktionen unterdückt.

nach oben energetisch = die Energie betreffend, hinsichtlich der Energie

nach oben Energetische Kopplung nennt man in der Biochemie die Kopplung einer Energie verbrauchenden und einer Energie liefernden Stoffwechselreaktion. Viele energetisch ungünstige Stoffwechselreaktion werden in Zellen erst dadurch ermöglicht.

nach oben Energie wird von Physikern als die physikalische Größe definiert, die wegen der zeitlichen Unveränderlichkeit der Naturgesetze in der Summe ihrer verschiedenen Erscheinungsformen immer gleich groß bleibt. Dem entsprechend besagt der Energieerhaltungssatz, dass die Gesamtenergie eines abgeschlossenen Systems weder vermehrt noch reduziert werden kann.
Das Problem dieser Definition ist allerdings, dass sie für Nichtphysiker schwer verständlich ist und außerdem nicht wirklich erklärt, was Energie ist. Nicht ganz korrekt, aber nützlicher für das Verständnis ist die ältere Definition, nach welcher Energie das ist, was die Verrichtung von Arbeit möglich macht. Man braucht Energie, um Körper zu beschleunigen, um etwas zu erwärmen, um Gase zusammenzudrücken, um elektrischen Strom fließen zu lassen oder um elektromagnetische Wellen abzustrahlen. Lebewesen benötigen Energie, um ihre komplexe innere Ordnung zu erhalten.
Man unterscheidet verschiedene Arten von Energie: Potentielle Energie (Energie der Lage), kinetische Energie (Bewegungsenergie), chemische Energie und thermische Energie (Wärmeenergie). Mit einigen Einschränkungen bei der Wärmeenergie lässt sich Energie von einer in die andere Form umwandeln und zwischen offenen Systemen übertragen.

nach oben energiearm = mit geringem Energie-Gehalt

Der Energieerhaltungssatz besagt, dass die Gesamtenergie eines abgeschlossenen Systems immer konstant bleibt. Das bedeutet, das Energie weder erschaffen, noch vernichtet werden kann. Möglich ist allerdings eine Energieumwandlung.

nach oben Energiefluss nennen Physiker den Prozess der Weitergabe physikalischer Energie zwischen verschiedenen technischen oder natürlichen Systemen. In der Energietechnik spricht man auch von Energieübertragung. In der Ökologie bezeichnet Energiefluss den Energietransfer und die Energieumwandlung von eingestrahlter Sonnenenergie oder chemischer Energie aus dem Erdinneren im Ökosystem über die Biomassen der Produzenten und die anschließenden Nahrungsketten mit Konsumenten, Primärkonsumenten, Sekundärkonsumenten, Tertiärkonsumenten und Destruenten. Weil die Lebewesen in den Nahrungsnetzen Energiewandler sind, kann man in diesem speziellen biologischen Sinne den Energiefluss in Nahrungsketten als Weitergabe von Energie über eine Kette von Energiewandlern definieren.

nach oben Energieform nennt man die Erscheinungsform, in der eine Energie aufritt. Energie kann weder erschaffen noch vernichtet, aber von einer Energieform in eine andere umgewandelt werden. Dabei bleibt die Gesamtmenge der Energie gleich, aber sie geht von einer Energieform in eine andere über und bei jeder Umwandlung geht ein Teil der umgewandelten Energie in Form nicht mehr nutzbarer Wärmeenergie "verloren". Wichtige Energieformen sind: Kernenergie, Strahlungsenergie, kinetische Energie, chemische Energie, elektrische Energie, magnetische Energie und potentielle Energie.

nach oben Energiegewinnung nennt man das Einsammeln in der Umwelt vorhandener Energieformen und deren Umwandlung in Energieformen, die man selber nutzen kann. Technisch werden beispielsweise die Strahlungsenergie der Sonne sowie die Bewegungsenergie des Windes in elektrische Energie umgewandelt. Lebewesen gewinnen ihre Energie aus Strahlungsenergie oder energiereichen Stoffen und wandeln diese Energien mit Hilfe ihrer Energiestoffwechsel um in die chemische Energie ihres universellen Energieträgers ATP.

nach oben Energiehaushalt nennt man die Gesamtheit aller Energieumwandlungen sowie die möglichst regulierte Aufnahme, Abgabe und den Transport von Energie oder energiereichen Stoffen, die von einem Organismus zum Überleben ausgeführt/vorgenommen/praktiziert werden.

nach oben Energieniveau ist ein Begriff aus der Welt der Atome mit ihren Quanteneffekten. Im Gegensatz zu unserer gewohnten Welt der großen Dinge und Mengen ändern sich extrem kleine physikalische Größen nicht kontinuierlich, sondern in Sprüngen. Ganz unbekannt sind uns im normalen Leben die Quanteneffekte allerdings nicht, denn wir können sie vergleichen mit unseren Erfahrungen mit Geld. Bei ganz kleinen Beträgen sind die Unterschiede zwischen 1 und 2 oder 2 und 3 Cent groß und es gibt nichts dazwischen, weil es keinen halben Cent gibt. Haben wir es hingegen mit Tausenden von Euro zu tun, dann können wir die Beträge praktisch stufenlos in winzigen Schritten verändern. Ähnlich verhält es sich bei Energiemengen. Geht es um große Energiemengen oder elektrische Ladungen, dann kann man diese Energiemengen praktisch stufenlos steigern oder reduzieren. Es gibt aber die elektrische Ladung eines Elektrons als kleinste elektrische Ladung, die man verdoppeln oder verdreifachen, aber nicht um Faktoren wie 1, 5 oder 2, 1 steigern kann. Und es gibt für Elektronen nur bestimmte Energiemengen, die sie enthalten können. Wenn ein Elektron Energie aufnimmt oder abgibt, dann tut es das immer nur in bestimmten Mindestmengen und es enthält danach immer nur ganz bestimmte Energiemengen. Diese festgelegten Energiemengen nennt man Energieniveaus. Oft veranschaulicht man sich die Energiniveaus mit klar von einander abgegrenzten Elektronenschalen, auf denen sich die Elektronen um einen Atomkern herum bewegen können und zwischen denen sie nur mit großen Sprüngen wechseln können.

nach oben Energiepflanze nennt man eine Pflanze oder Pflanzen-Spezies, die als nachwachsender Rohstoff für die Produktion von Biogas, Alkohol, Benzin oder andere Energieträger genutzt werden.

nach oben energiereich = mit hohem Energie-Gehalt

nach oben Energiestoffwechsel nennt man die Summe aller Stoffwechselvorgänge eines Lebewesens, die seiner Energieversorgung dienen.

nach oben Energieträger sind Stoffe, deren Energiegehalt für Energieumwandlungsprozesse nutzbar ist.

nach oben Energieumwandlung bedeutet, dass eine Energieform in eine andere umgewandelt wird. Beispielsweise kann die kinetische Energie in potentielle Energie umgewandelt werden, indem ein schnell fahrendes Auto bei abgeschaltetem Motor einen Berg hinauf rollt und dabei immer langsamer wird. Rollt das Auto anschließend den Berg wieder hinunter, dann wird umgekehrt seine potentielle Energie wieder in kinetische Energie umgewandelt, denn es wird dabei immer schneller. Energieumwandlungen sind allerdings nicht beliebig möglich, sondern nur dann, wenn dabei die Summe der Energien und andere physikalische Erhaltungsgrößen wie der Impuls und der Drehimpuls des Gesamtsystems unverändert bleiben. Außerdem kann fast immer nur ein Teil der vorhandenen Energie in die gewünschte andere Energieform übergehen. Durch Reibung und ähnliche Prozesse kommt es fast immer zur Erwärmung beteiligter Objekte oder ihrer Umgebung. Die dabei auftretende thermische Energie (Wärmeenergie) steht dann normalerweise nicht mehr für weitere Energieumwandlungen zur Verfügung.

nach oben Energieverbrauch ist ein physikalisch nicht korrekter Begriff, weil Energie weder neu geschaffen noch vernichtet werden kann. Bei jeder Energieumwandlung bleibt die Energie vollständig erhalten und wechselt lediglich in andere Energieformen. Gemeint ist mit dem strenggenommen falschen Begriff Energieverbrauch, das eine Energieform verbraucht wird, um eine oder mehrere andere Energieformen zu erzeugen. Bei solchen Energieumwandlungen entsteht immer Wärmeenergie und meistens noch irgend eine andere Energieform.

nach oben Energiewandler heißt etwas, das Energieumwandlungen bewirkt.

nach oben enterisch = allgemein die Eingeweide oder spezieller den Darm betreffend oder zu ihnen gehörend oder durch sie oder mit ihnen

nach oben enterisches Nervensystem = zum autonomen Nervensystem gehörendes Nervengeflecht in der Wand des Verdauungskanals, durch das die Darmmotorik gesteuert wird (Dr. Ingrid Schütt-Abraham)

nach oben Enterotyp nennt man einen von drei Grundtypen menschlicher Mikrobiome. Die Enterotypen unterscheiden sich aufgrund der Spektren der in den Mikrobiomen vorkommenden Spezies und deren relativen Häufigkeiten. Der Enterotyp eines menschlichen Mikrobioms scheint nicht vom Alter, Geschlecht, Körpergewicht oder Wohnort beeinflusst zu werden und spätestens bei Jugendlichen normalerweise nicht mehr grundlegend veränderbar zu sein. Aber die Mengenverhältnisse der Bakterien-Spezies scheinen durch Langzeit-Diäten beeinflusst zu werden. Aufgrund der dominanten Bakterienstämme unterscheidet man:

  1. Bacteroides-dominanter Typ: Bacteroides sind eine Familie Gram-negativer, obligat-anaerober Bakterien, die keine Endosporen bilden. Bacteroides-Bakterien verdauen komplexe Moleküle - vor allem pflanzliche Glycane, tierische Eiweiße und gesättigte Fettsäuren. Sie gehören zu den dominanten Spezies und scheinen besonders häufig bei Menschen vorzukommen, deren Nahrung viel Protein und tierisches Fett enthält. Bacteroides-Bakterien liefern dem Menschen die Vitamine Biotin (B7), Riboflavin (B2), Pantothensäure (B5) und C.
  2. Prevotella-dominanter Typ: Prevotella sind eine Familie von Bakterien, die im menschlichen Darm besonders an der Zerlegung von Zucker-Protein-Komplexen im Schleim der Darmschleimhaut beteiligt sein. Besonders dominant scheinen Prevotella-Stämme bei Vegetariern und anderen Menschen zu sein, deren Nahrung viele Kohlenhydrate enthält. Prevotella-Bakterien produzieren für uns Thiamin (Vitamin B1) und Folsäure.
  3. Ruminococcus-dominanter Typ: Ruminococcus-Bakterien sind strikt anaerob und spalten bevorzugt und besonder effektiv Zucker und Muzine, aber sie können auch Zellulose zerlegen. Die Mikrobiome von gut zwei Dritteln aller Menschen scheinen vom Ruminococcus-dominanten Enterotyp zu sein.

nach oben Enthalpie heißt die Summe aus der inneren Energie und der Volumenarbeit (dem Produkt aus Druck und Volumen) eines thermodynamischen Systems. Volumenarbeit nennt man die Arbeit, die gegen den herrschenden Druck verrichtet werden muss, um das aktuelle Volumen zu erzeugen. Die Enthalpie ist eine mathematisch definierte abstrakte Kenngröße zur Beschreibung thermodynamischer Systeme. Sie lässt sich aber nicht unmittelbar als eine anschauliche Energiegröße eines thermodynamischen Systems interpretieren. Die Innere Energie lässt sich auch nicht genau abschätzen. Anhaltspunkte liefern beispielsweise die Energiemengen, die frei oder aufgenommen werden, wenn Stoffe aus den reinen chemischen Elementen gebildet werden, wenn sie kondensieren, verdampfen, sublimieren, schmelzen, kristallisieren, gelöst, hydratisiert oder verbrannt werden. Wieviel chemische Energie in Einfach-, Doppel- und Dreifachbindungen steckt, kann man ermitteln, indem man sie durch Energiezufuhr auflöst. Messbar ist zwar nicht die Enthalpie eines thermodynamischen Systems, aber bei konstantem Druck entspricht die bei einer chemischen Reaktion aufgenommene bzw. abgegebene Wärmemenge der Differenz der Enthalpien der Edukte und der Produkte. Diese Differenz nennt man auch Reaktionsenthalpie oder Reaktionswärme. Wenn die Enthalpie eines thermodynamischen Systems abnimmt, weil Wärme in seine Umgebung wechselt, dann vergrößert diese Wärme in der Umgebung die Entropie umso stärker, je kälter die Umgebung ist. Mathematisch kann man das mit folgenden Gleichungen ausdrücken, bei denen H für Enthalpie und ΔH für die Änderung der Enthalpie steht, S für Entropie und ΔS für die Änderung der Entropie sowie T für die absolute Temperatur in Kelvin, wobei T bei biochemischen Reaktionen gleich bleibt. Die dritte Formel ergibt sich durch Einsetzen der ersten in die zweite. Die vierte Formel erhält man durch Multiplikation der dritten mit -T.

  1. ΔS Umgebung = -ΔH System / T
  2. ΔS gesamt = ΔS System + ΔS Umgebung
  3. ΔS gesamt = ΔS System - ΔH System / T
  4. -TΔS gesamt = ΔH System - TΔS System
  5. ΔG = ΔH System - TΔS System
ΔG nennt man freie Enthalpie oder Gibbs Energie.

nach oben Entomologe ist die Berufs- oder Hobbybezeichnung für Insektenforscher. Lange wurden die Entomologen durch Genetiker und Molekularbiologen in den Hintergrund gedrängt. Nun werden sie aber wieder zunehmend wichtig, weil man sie dringend als Experten für den biologischen Pflanzenschutz braucht.

nach oben Entropie ist ein Begriff, den wir in der Biologie nur verwenden, weil Biologiestudenten in ihren Physik-Prüfungen auch zur Thermodynamik befragt werden. Wirklich verstanden wird diese fundamentale, aber nicht messbare thermodynamische Zustandsgröße von Biologen aber eher nicht, weil leider nur wenige Physiker fähig sind, anschaulich und nicht abstrakt mathematisch denkenden Menschen irgend etwas zu erklären. Was man als anschaulich denkender Biologe unter Entropie versteht, ist Folgendes: Wenn die Ionen eines Kristalls geordnet in ihrem Gitter stehen, dann ist ihre Entropie niedrig. Wird der Kristall geschmolzen, dann nimmt die Entropie zu. Pumpt man die meisten Luft-Moleküle eines Raumes in einen kleinen Tank, dann sinkt dabei deren Entropie (nicht insgesamt). Lässt man die Luftmoleküle wieder frei, dann verteilen sie sich gleichmäßig im Raum und steigern damit die Entropie so weit wie möglich. Biologen verstehen deshalb die Entropie als ein Maß für die Unordnung eines Systems, auch wenn Physiker dagegen protestieren und behaupten, diese Vorstellung treffe nicht immer zu. Für Biologen ist das irrelevant, solange die Physiker ihre Begriffe nicht vernünftig erklären und sich nicht einmal untereinander darüber einigen können.

nach oben Entwesung = Traditioneller Ausdruck für die Schädlingsbekämpfung nach Befallsfeststellung, insbesondere die gezielte Aktion zur Befreiung von Räumen, in denen sich Menschen aufhalten oder Lebensmittel behandelt werden, von Schädlingen, durch welche Krankheitskeime übertragen werden können, insbesondere von Schadnagern wie Ratten und Mäusen oder Gliedertieren wie Schaben, Pharaoameisen oder Wanzen (Dr. Ingrid Schütt-Abraham)

nach oben entwickeln = allmählich entstehen, sich in eher kleinen Schritten in eine bestimmte Richtung verändern, eine Entwicklung durchmachen

nach oben Entwickle im Sinne eines Operators des Anforderungsbereichs 3 für das Fach Biologie in der gymnasialen Oberstufe bedeutet, dass man zu einem Sachverhalt oder einer Problemstellung eine Fragestellung, ein Modell oder ein Experiment entwerfen oder anpassen soll.

nach oben Entwickle eine Hypothese bedeutet als Operator der gehobenen Anforderungsbereiche 2 oder 3 für das Fach Biologie in der gymnasialen Oberstufe, dass man auf der Grundlage des zu bearbeitenden Materials (Beobachtungen, Untersuchungen, Experimenten oder Aussagen) und gegebenenfalls eigener Kenntnisse eine begründete Vermutung zur Beantwortung einer gegebenen Fragestellung formuliert. Eine Hypothese ist eine Vermutung über einen Mechanismus bzw. eine Erklärung für die Ergebnisse von Beobachtungen oder Experimenten. In der Forschung werden Hypothesen nach Möglichkeit so formuliert, dass sie bestimmte experimentelle Ergebnisse vorhersagen und sich durch entsprechende Experimente bestätigen oder widerlegen lassen.

nach oben Entwicklung nennt man einen Prozess (einen Zeit benötigenden Vorgang), bei dem eine Abfolge mehrerer, in die gleiche Richtung zielender Veränderungen zu einem anderen Zustand führt. Beispiele für biologische Entwicklungen sind Differenzierung, Ontogenese, Phylogenese und Sukzession.

nach oben Enzephalon ist die eingedeutschte Form von Encephalon, dem medizinischen Fachbegriff für das gesamte Gehirn.

nach oben Enzephalopathie oder Encephalopathie = Gehirnerkrankung

nach oben Enzyklopädie heißt ein sehr imfangreiches und deshalb aus mehreren Bänden (Büchern) bestehendes Nachschlagewerk, in welchem alphabetisch sortierte Begriffe ausführlicher als in einem Lexikon erklärt werden.

nach oben Enzyme oder Biokatalysatoren nennt man von Lebewesen bzw. deren Zellen produzierte Katalysatoren, die chemische Reaktionen beschleunigen und lenken, weil sie die sonst erforderlichen Aktivierungsenergien reduzieren, indem sie selbst oder ihre Cofaktoren vorbübergehend mit ihren Substraten chemisch reagieren, sodass von mehreren möglichen Zwischenprodukten nur eines entsteht, welches anschließend zu nur einem Produkt weiterreagiert, wobei das Enzym in seinen ursprünglichen Zustand zurückkehrt. Die allermeisten Enzyme sind Proteine, aber es gibt auch enzymatisch wirksame RNAs. Braucht ein Enzym ein Coenzym, dann unterscheidet man zwischen dem nur aus Protein bestehenden Apoenzym sowie dem aus Apoenzym und Coenzym bestehenden Holoenzym.

nach oben Enzymatik heißen die Teildisziplin der Biologie, Biochemie und Stoffwechsel-Physiologie, die sich mit den Aufgaben, Eigenschaften und der Regulation von Enzymen beschäftigt sowie das von ihr erarbeitete Wissen.

nach oben Enzym-Reaktion nennt man eine von einem Enzyms ermöglichte, beschleunigte und gesteuerte chemische Reaktion.

nach oben Enzym-Substrat-Komplex nennt man die vorübergehende Verbindung eines Enzyms mit seinem Substrat. Dabei kann das Enzym seine Form ändern und das Substrat wird in einen aktivierten Zustand versetzt oder in eine Position gebracht, in der es leichter zu einer bestimmten chemische Reaktion kommen kann.

nach oben enzymatisch = unter Beteiligung eines Enzyms

nach oben Enzymimmunoassay = (EIA) empfindliches und spezifisches Verfahren zum Nachweis von antigenen Substanzen in (Körper)flüssigkeiten, bei dem die Substanz mittels immunologischer (Antigen-Antikörper-) Reaktionen gebunden und ihr Vorhandensein mittels enzymatischer Reaktionen erkennbar gemacht wird. (Dr. Ingrid Schütt-Abraham)

nach oben Enzymkomplex nennt man einen Komplex aus mehreren Enzymen, die oft unterschiedliche chemische Reaktionen katalysieren.

nach oben Eosin = in der Bakteriologie und Histologie benutzter Farbstoff (rot-orange)

nach oben Eozän heißt ein Erdzeitalter, das vor etwa 56 Millionen Jahren begann und vor etwa 33, 9 Millionen Jahren endete. Es begann mit einer deutlichen Änderung im Kohlenstoff-Isotopen-Verhältnis und endete mit dem Aussterben der Foraminiferen-Gattung Hantkenina.

nach oben Epidemie = örtlich nicht eng begrenztes, massenhaftes Auftreten einer Infektionskrankheit

nach oben Epidemiologe heißt ein Forscher, der Epidemiologie betreibt.

nach oben Epidemiologie = Wissenschaft von der Entstehung (Ursachenforschung), Verbreitung (Prognosen beispielsweise aufgrund von Computersimulationen) und Bekämpfung epidemischer Infektionskrankheiten

nach oben epidemiologisch = die Epidemiologie betreffend oder deren Methoden verwendend

nach oben epidemisch = in Form einer Epidemie auftretend

nach oben Epidermis nennt man bei Menschen und anderen Wirbeltieren die gesamte Oberhaut, bei wirbellosen Tieren nur die oberste Zellschicht. Bei Pflanzen nennt man die äußerste lebende Zellschicht Epidermis. Sie enthält bei Samenpflanzen keine Chloroplasten und bildet zur Verhinderung ungeregelter Transpiration auf ihrer Außenseite eine dünne Schicht aus Wachs. Die Epidermis genannte Oberhaut ist die gefäßlose oberste bzw. äußerste Schicht der Haut, die von ektodermalem Gewebe abstammt und ihrerseits in mehrere Schichten eingeteilt wird. Ganz unten bzw. innen liegt das Stratum basale, die Basalzellschicht aus säulenförmigen Zellen, die mit Protoplasmaausstülungen in der subepidermalen Basalmembran verankert sind. Darüber folgt das Stratum spinosum, die Stachelzellenschicht aus 4-8 Lagen polygonaler, durch Zytoplasmafortsätze verbundener Zellen. Darüber liegt das Stratum granulosum, die Körnerzellenschicht aus 1-5 Lagen abgeplatteter Zellen mit stark lichtbrechenden basophilen Keratohyalinkörnchen. An dicken Epidermisstellen (Hohlhand, Fußsohle) folgt das Stratum lucidum, die Glanzschicht aus kernlosen, kaum abgrenzbaren Zellen mit stark lichtbrechendem azidophilem Eleidin. Den Abschluß bildet immer das Stratum corneum, die Hornschicht aus platten, kernlosen Zellen, die anfangs noch fest miteinander verbunden sind (Stratum conjunctum) und später an der Oberfläche in feinen Schüppchen abschilfern (Stratum disjunctum). An der Unterseite der Epidermis befinden sich Netzwerk von Haftkämmen sowie dazwischen liegende Vertiefungen zur Aufnahme der Papillen der Lederhaut. Die Ernährung der selbst gefäßlosen Epidermis erfolgt über die Blutkapillaren der Papillen. Zellteilungen finden hauptsächlich im Stratum basale, aber auch noch im Stratum spinosum statt.

nach oben epidural = auf der Dura gelegen (Dr. Ingrid Schütt-Abraham)

nach oben Epigenetik nennt man die Beeinflussung der Nutzung des Bauplans durch Umwelt und Verhalten eines Lebewesens. Epigenetik heißt wissenschaftlicher ausgedrückt die Teildisziplin der Biologie, welche die Phänomene erforscht, die ohne Änderung des Genotyps (des Bauplans) zu vererbbaren Änderungen des Phänotyps (der Eigenschaften) eines Lebewesens führen. Epigenetik nennt man auch das Phänomen der Vererbung von Merkmalen ohne Änderung von Nukleotidsequenzen. Entsprechend beeinflusst epigenetische Vererbung nicht der Formen der Proteine, sondern deren Expression (Menge). Dazu werden Gene durch Histon-Modifikationen sowie durch Veränderungen der DNA-Methylierung aktiviert oder inaktiviert.

nach oben epigenetisch = die Epigenetik betreffend oder durch sie verursacht

nach oben Epigravettien nennt man eine archeologische Kultur, deren älteste bekannte Funde etwa 21.000 Jahre alt sind und die jüngsten rund 8.000. Nachgewiesen wurde diese Kultur in einem Gebiet, dass wir heute als Italien, Balkanhalbinsel, Rumänien und Ukraine kennen.
Europa vor 20.000 Jahren
anonym, CC BY-SA 3.0
Im violetten Bereich gab es das Epigravettien, im orangebraunen war das geschrumpfte Gebiet der Solutréen-Kultur.

nach oben Epikard = die äußere seröse Hülle des Herzens, der Herzmuskulatur aufliegendes Blatt des Herzbeutels (Dr. Ingrid Schütt-Abraham)

nach oben epikardial = zum Epikard gehörig, das Epikard betreffend (Dr. Ingrid Schütt-Abraham)

nach oben epileptischer Anfall = spontan oder durch äussere Reize ausgelöste heftige synchrone Aktivität der Nervenzellen im Großhirn, beim generalisierten epileptischen Anfall mit typischen klinischen Symptomen (tonisch-klonische Krämpfe) und Bewusstlosigkeit einhergehend (Dr. Ingrid Schütt-Abraham)

nach oben Epimysium heißt das den gesamten Skelettmuskel umgebende Bindegewebe, welches heute zu den Faszien gezählt wird.

nach oben Epiphyse ist ein aus dem griechischen entlehnter biomedizinischer Begriff und bedeutet allgemein Aufwuchs oder aufsitzendes Gewächs (wie ein Epiphyt). In der Medizin meint man damit die Zirbeldrüse (Glandula pinealis) im Gehirn oder die vergrößerten Endstücke (Aufwüchse) der Röhrenknochen (Epiphysis ossis). In der Zoologie nennt man Fortsätze auf Insektenbeinen Epiphysis tibialis.

Zirbeldrüse (Epiphyse) in einem rotierenden Modell des menschlichen Hirns nach oben
Zirbeldrüse in rotierendem Hirn-Modell Für eine größere Version klicke auf das rotierende Bild.
BodyParts3D/Anatomography, The Database Center for Life Science, CC-BY-SA-2.1-jp
Dieses rotierende Modell eines menschlichen Hirns hebt die Zirbeldrüse rot hervor.

nach oben Epiphysenfuge oder Wachstumsfuge nennt man den noch aus Knorpel bestehenden Zwischenraum zwischen dem Schaft (Metaphyse) und verdickten Endstück (Epiphyse oder genauer Epiphysis ossis) eines noch nicht ausgewachsenen Röhrenknochens. In dieser Wachstumsfuge vermehren sich die Knorpelzellen. Dabei werden die "älteren" von den "jüngeren" Knorpelzellen nach außen in Richtung Knochen geschoben und differenzieren dabei langsam zu Knochenzellen. Indem sich diese neuen Knochenzellen selbst in harter Knochen-Substanz einmauern, wächst der Röhrenknochen, während die Epiphysenfuge ungefähr gleich breit bleibt, bis die Wachstumsphase endet.

nach oben Epiphyt heißt eine Pflanze, die auf einer anderen Pflanze lebt.

nach oben episcleralis = auf der Sclera aufliegend (in: Spatium episcleralis und Lamina episcleralis)

nach oben Epithelium oder Epithel heißt die oberste Zellschicht von Haut- oder Schleimhaut-Gewebe.

nach oben Epithelzellen nennt man Zellen eines Epitheliums.

nach oben Epitop heißt eine molekular-kleine Oberfläche, welche von passenden Antikörpern gebunden werden kann.

nach oben Epoche nennt man einen längeren zeitlichen Abschnitt, der sich in einer oder mehreren wichtigen Eigenschaften von vorangegangenen und nachfolgenden Zeitabschnitten unterscheidet.

nach oben ER ist in der Zellbiologe die Abkürzung für endoplasmatisches Retikulum.

nach oben Erbanlage nennt man ein Gen oder eine durch ein Gen festgelegte Fähigkeit eines Organismus, ein bestimmtes Merkmal auszubilden. Im Plural entsprechen die Erbanlagen eines Organismus seinem Genom.

nach oben Erbgang nennt man die prinzipielle oder konkret auf einen Fall bezogene Darstellung der Vererbung eines genetischen Merkmals z.B. anhand eines Stammbaums oder eines Kreuzungsschemas.

nach oben Erbgleich sind zwei Zellen mit identischen Erbinformationen.

nach oben Erbgut = Genom = gesamte Erbinformation eines Individuums oder einer ganzen Spezies

nach oben Erbinformation heißt die gesamte Information, die eine Tochterzelle von ihrer Mutterzelle oder eine Zygote von ihren Vorfahren erbt. Wie üblich, gibt es aber unter den Biologen keine Einigkeit darüber, ob zu den Erbinformationen nur die DNA oder auch ihre vererbten epigenetischen Modifikationen gehören, ob es nur DNA sein kann oder auch RNA und ob dazu nur an Nukleinsäuren gebundene Informationen zählen oder auch deren Benutzung beeinflussende Stoffe und Gradienten in der Zelle/Zygote. Es entspricht nicht dem Spektrum des üblichen Sprachgebrauchs, aber eigentlich müssten zur Erbinformation auch alle Informationen zählen, die in den Strukturen der Proteine stecken, ohne welche die in Nukleinsäuren gespeicherten Informationen gar nicht oder nicht korrekt genutzt werden könnten. Allgemein anerkannt ist immerhin die Unterscheidung zwischen der Erbinformation und dem Erbmaterial, in bzw. an dem die an Nukleinsäuren gebundene Erbinformation gespeichert ist.

nach oben Erbkrankheit heißt eine Krankheit, wenn ihre Ursache eine von einem oder beiden Elternteilen vererbte Gen-Mutation ist.

nach oben erblich = vererbbar im biologischen Sinne, durch die Weitergabe elterlicher Erbanlagen (Erbinformationen, Baupläne) an ihre Nachkommen

nach oben Erbmaterial heißt das organische Material, welches die Erbinformation enthält. In allen bekannten Lebewesen ist das eine Nukleinsäure, nämlich Desoxyribonukleinsäure (DNA) oder Ribonukleinsäure (RNA). In deren Nukleotidsequenzen steckt die Erbinformation.

nach oben Erbsubstanz heißt die Substanz, welche die Erbinformation enthält. In allen bekannten Lebewesen ist das eine Nukleinsäure, nämlich Desoxyribonukleinsäure (DNA) oder Ribonukleinsäure (RNA). In deren Nukleotidsequenzen steckt die Erbinformation.

nach oben Erdanziehung heißt die Summe aus Gravitationskraft und Zentrifugalkraft aufgrund der Erdrotation.

nach oben Erdgas ist ein brennbares, natürlich entstandenes Gasgemisch, das hauptsächlich aus Methan besteht. Es tritt häufig zusammen mit Erdöl auf, weil es beim selben Prozess entsteht. Erdöl und Erdgas scheinen sich unter dem Einfluss von Bakterien und organischen Katalysatoren in sauerstoffarmen Faulschlämmen aus den zersetzten Überresten vor Jahrmillionen massenhaft abgestorbenen Meeres-Planktons gebildet zu haben, nachdem diese von Sedimenten bedeckt wurden, die für großen Druck und Wärme sorgten. Deshalb findet man Erdöl und Erdgas in porösen Sedimentgesteinen, in denen sie allerdings oft gewandert sind und sich getrennt haben, bis sie von undurchlässigen Schichten gestoppt wurden.

nach oben Erdöl heißt ein in der oberen Erdkruste vorkommendes, gelbliches bis schwarzes, hauptsächlich aus Kohlenwasserstoffen bestehendes Stoffgemisch. Es tritt häufig zusammen mit Erdgas auf, weil es beim selben Prozess entsteht. Erdgas und Erdöl scheinen sich unter dem Einfluss von Bakterien und organischen Katalysatoren in sauerstoffarmen Faulschlämmen aus den zersetzten Überresten vor Jahrmillionen massenhaft abgestorbenen Meeres-Planktons gebildet zu haben, nachdem diese von Sedimenten bedeckt wurden, die für großen Druck und Wärme sorgten. Deshalb findet man Erdgas und Erdöl in porösen Sedimentgesteinen, in denen sie allerdings oft gewandert sind und sich getrennt haben, bis sie von undurchlässigen Schichten gestoppt wurden.

nach oben Erdzeitalter heißt ein Abschnitt (Zeitalter) der Erdgeschichte (Geschichte unseres Planeten), der mit einem prägenden Ereignis beginnt und mit dem nächsten prägenden Ereignis (z.B.: Massenaussterben) endet. Den aktuellen Stand der Forschung hinsichtlich der Abfolge und Datierung der Erdzeitalter stellt die Internationale Kommission für Stratigraphie auf einer Internetseite dar. Biologen müssen nicht jedes Erdzeitalter kennen. Aber für den Unterricht zum Thema Evolution habe ich einige kurz beschrieben: Präkambrium, Hadaikum, Archaikum, Proterozoikum, Phanerozoikum, Kambrium und Eozän.
Schema der Erdzeitalter

nach oben Erektion nennt man das Anschwellen eines Penis oder einer Klitoris. Beim Menschen passiert das, indem sich das betroffene Geschlechtsorgan mit Blut füllt. Beim menschlichen Penis passiert das durch eine Reduktion des Blutabflusses.

nach oben Erkläre bedeutet als Operator der gehobenen Anforderungsbereiche 2 oder 3 für das Fach Biologie in der gymnasialen Oberstufe, dass man mit Hilfe des zu bearbeitenden Materials (Text, Tabelle oder Grafik) und gegebenenfalls eigener Kenntnisse ein Phänomen oder einen Sachverhalt (eine Sache) nachvollziehbar und verständlich machen und wenn möglich auf Gesetzmäßigkeiten zurückführen sowie in einen Zusammenhang einordnen soll.

nach oben Erkrankung und Krankheit sind zwei Begriffe, die oft verwechselt werden. Korrekt spricht man von Krankheiten wie Grippe oder Krebs, wenn man die Krankheit an sich, ihre Ursachen, Verläufe und mögliche Folgen meint. Den Begriff Erkrankung sollte man richtigerweise nur dann verwenden, wenn der Zustand des Krankseins eines Individuum gemeint ist.

Die Erle (genauer: Schwarzerle)
Schwarzerle Schwarzerlen-Blätter"
Erle nennt man diesen Baum, der zu den ganz wenigen gehört, die monatelang in überschwemmten Böden stehen können, weil sie spezielle Luftkanäle besitzen, mit denen sie Sauerstoff in die Wurzeln transportieren, um nicht zu ersticken. Man findet die Erle deshalb oft in Weichauen.
Bilder aus der Creative Commons

nach oben Ermittle bedeutet als Operator der gehobenen Anforderungsbereiche 2 oder 3 für das Fach Biologie in der gymnasialen Oberstufe, dass man mit Hilfe des zu bearbeitenden Materials (Text, Tabelle oder Grafik) und gegebenenfalls eigener Kenntnisse im Sinne der Aufgabenstellung einen Zusammenhang oder eine Lösung finden und das Ergebnis formulieren soll.

nach oben ernähren = mit Nahrung versorgen

nach oben Ernährung heißt man die Aufnahme von Nahrung zu dem Zweck, den eigenen Körper mit Baustoffen und wenn nötig auch mit Energie zu versorgen.

nach oben Erosion oder Bodenerosion nennt man in der Ökologie das Abtragen von Boden durch Wind und Wasser. Für die Menschheit ist die Bodenerosion ein großes Problem, weil durch sie ständig sehr viel fruchtbarer Humus verloren geht, den wir für die Nahrungsmittelproduktion dringend bräuchten. Oft sind aber auch Menschen für die Erosion verantwortlich, weil sie fruchtbare Böden falsch oder zu lange gar nicht bepflanzen, Hecken vernichten oder Wald abholzen und verbrennen.

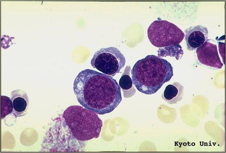
Erythropoese (englisch: Erythropoiesis) oder genauer Erythrozytopoese (englisch: Erythrocytopoiesis) nennt man die normalerweise im Knochenmark stattfindende Entwicklung zahlreicher Erythrozyten aus wenigen multipotenten (Manche nennen sie auch pluripotent.) hämopoetischen Stammzellen (HSC). Die Stammzellen können nur in bestimmten Nischen Stammzellen bleiben und nur eine von zwei Tochterzellen findet darin Platz. Der anderen Tochterzelle droht der Verlust der Unsterblichkeit, wenn sie keine andere freie Nische findet. So bleibt die Zahl der Stammzellen nahezu konstant. Nach dem Verlust der Stammzellfähigkeit nennt man die Nachkommen der zweiten Stammzell-Tochterzellen multipotent progenitors (MPP) oder multipotente Vorläuferzellen.
Wie fast immer in der Biologie ist die Sache natürlich auch in diesem Fall in Wirklichkeit sehr viel komplizierter. Unter anderem werden immer neue Untergruppen (Subtypen) von hämopoetischen Stammzellen (HSC) entdeckt. So wird inzwischen zwischen Langzeit- und Kurzzeit-Stammzellen unterschieden. Und man konnte nachweisen, dass es Stammzellen gibt, in denen bereits einzelne von den Genen aktiv sind, die eigentlich typisch für bestimmte spezialisiertere Zelltypen sind. Das bedeutet auch, dass aus der zweiten Tochterzelle der ursprünglichen Stammzelle nicht unmittelbar und nicht nur ein einziger multipotenter Progenitor (MPP) entsteht, sondern durch mehrere Zellteilungen entstehen mehrere MPP. Die Notwendigkeit der flexiblen Regulierbarkeit der Hämopoese spricht außerdem dafür, dass die Zahl der Zellteilungen zwischen der Langzeit-hämopoetischen Stammzelle und dem multipotenten Progenitor nach Bedarf flexibel eingestellt werden kann.
Wenn nötig, sind die MPP noch in der Lage, ihre Differenzierung zugunsten einer stärkeren Vermehrung zu verlangsamen. Die multipotenten Vorläuferzellen (MPP) teilen sich und ihre Tochterzellen verlieren langsam und anfangs noch reversibel einen Teil ihrer Multipotenz. Das bedeutet, dass sie sich für eine von mehreren möglichen Entwicklungslinien entscheiden. Im Falle der Erythropoese entscheiden sie sich vorläufig gegen den lymphoiden und für den myeloiden Entwicklungsweg. Man bezeichnet diese noch multipotente und reversibel auf die myeloide Linie festgelegte Tochterzellen als myeloische Vorläuferzellen. Ihre Tochterzellen können sich noch entscheiden, zu Blutplättchen, roten Blutkörperchen, Granulozyten, Makrophagen, Mastzellen oder dendritische Zelle zu differenzieren.
Erst mit der Entscheidung für den Entwicklungsweg zu Erythrozyten beginnt die Erythropoese im engeren Sinne.

Proerythroblast
WikiDoc, CC BY-SA 3.0
Die Erythropoese im engeren Sinne führt über den oben in der Bildmitte gezeigten, großen Proerythroblasten, die kleineren Erythroblasten (mit violettem, rundem Zellkern und relativ breitem, blauen Zytoplasma unten in der Bildmitte), die noch kleineren Normoblasten (dritte Bild) und die schon sehr kleinen Retikulozyten (viertes Bild) schließlich zu den kernlosen Erythrozyten, die man auf allen vier Bildern ebenfalls sieht.
Proerythroblast
Melih Aktan MD, CC BY-SA 3.0
Das dritte Bild aus Wikidoc zeigt zwischen den kernlosen Erythrozyten einen Normoblasten mit dunkel gefärbtem Zellkern.
Proerythroblast
Melih Aktan MD, CC BY-SA 3.0
Das vierte Bild aus Wikidoc zeigt zwischen den kernlosen Erythrozyten knapp über der Bildmitte und auf habem Wege zur linken unteren Ecke zwei Retikulozyten mit dunkel gefärbtem Chromatin.
Reticulocyte
Melih Aktan MD, CC BY-SA 3.0
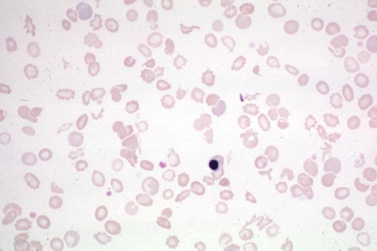
Erythrozyt = kernloses, scheibenförmiges, in der Mitte eingedelltes rotes Blutkörperchen mit einem Durchmesser von etwa 7 µm, bestehend aus einer GerüstSubstanz sowie dem darin eingebetteten Blutfarbstoff Hämoglobin
Erythrozyten und Thrombozyten
Lutz Slomianka, School of Anatomy and Human Biology - The University of Western Australia, Copyright Lutz Slomianka

nach oben Erz nennt man üblicherweise ein Gestein mit so hoher Metall-Konzentration, dass sich sein Abbau lohnt.

nach oben ESBL = Extended Spectrum Beta Laktamase = bakterielle Enzyme (Betalaktamasen), die ein erweitertes Spektren Betalaktam-haltiger Antibiotika spalten können

nach oben Essen nennt man den Vorgang der Aufnahme fester Nahrung und auch das, was man dabei isst.

nach oben Essenz heißt das Wesentliche, das unbedingt dazu gehörende, das sie eigentlich ausmachende oder der Kern einer Sache

nach oben Essenziell oder essentiell bedeutet in der Biologie unverzichtbar oder lebensnotwendig. Gemeint ist damit meistens, dass bestimmte Aminosäuren oder Fettsäuren unbedingt mit der Nahrung aufgenommen werden müssen, weil der Organismus sie nicht selbst herstellen kann.

nach oben etablieren = etwas Neues stabilisieren bzw. durchsetzen, für etwas Neues Akzeptanz gewinnen, in seiner Rolle oder Tätigkeit Anerkennung gewinnen

nach oben Ethik heißt seit Cicero auch Moral-Philosophie und ist ein Teil der praktischen Philosophie. In ihr geht es darum, wie ein Mensch handeln sollte, damit er ein guter Mensch ist und seine Gesellschaft gut funktioniert. Die Ethik erarbeitet also eine Sittenlehre.

nach oben ethisch = hinsichtlich einer Ethik

nach oben Ethnie als Begriff kommt vom altgriechischen Wort für Volk. Ethnie nennt man eine abgrenzbare Gruppe von Menschen, die sich selbst durch ein Zusammengehörigkeitsgefühl und eine relativ einheitliche Kultur von anderen menschlichen Subpopulationen abgrenzt und möglichst ohne Fremdbestimmung durch andere Gruppen nach ihren eigenen Regeln leben möchte.

nach oben EU = Europäische Union

nach oben Eugenik nennt man den Versuch einer gezielten Verstärkung vorteilhafter und Ausmerzung vermeintlich ungünstiger Gene in einer menschlichen Gesellschaft.

nach oben Eukaryont ist ein inzwischen anscheinend veraltetes Synonym für Eukaryot.

nach oben Eukaryot oder Eukaryont nennt man Organismen, deren Zellen durch einen Zellkern und andere Organellen in verschiedene Reaktionsräume unterteilt sind.

nach oben eukaryotisch = zu Eukaryoten gehörend oder sie betreffend

nach oben Euriök heißen Spezies mit einem breiten Präferendum.

nach oben evaluieren = eine Sache sach- und fachgerecht aufgrund bestimmter Kriterien und möglichst aufgrund von Untersuchungen bewerten

nach oben Evaporation bedeutet Übertragung thermischer Energie durch Verdunstung von Wasser.

nach oben Evolution heißt in der Biologie der Prozess der meistens sehr langsamen Veränderung des Spektrums genetisch vererbbarer Eigenschaften innerhalb einer Spezies über Generationen hinweg. Zum Beispiel gab es vor Tausenden von Jahren in Europa nur einen einzigen Menschen, der auch als Erwachsener noch problemlos Milch trinken konnte. Heute können das die meisten Europäer. Diese allmähliche Durchsetzung einer Eigenschaft innerhalb der Spezies (Tierart) Mensch nennt man Evolution, weil diese Entwicklung auf einer Veränderung des menschlichen Bauplans beruht. Im Gegensatz dazu spricht man nicht von Evolution, wenn in einer Gesellschaft nur aufgrund besserer medizinischer Versorgung die Lebenserwartung oder aufgrund eines größeren Nahrungsangebotes die Körpergröße zunimmt. Es handelt sich auch nicht um Evolution, wenn sich unsere Haut im Sommer durch Bräunung an die zunehmende Sonnenstahlung anpasst.
Nach der unter Laien umstrittenen, naturwissenschaftlich aber sehr gut belegten Evolutionstheorie wird Evolution dadurch ermöglicht, dass Mutationen und andere Mechanismen zu einer genetischen Variabilität einer Spezies führen. Selektionsfaktoren wie Fressfeinde, Nahrungsmangel oder hartes Klima sorgen dafür, dass eher Individuen mit besonders gut angepassten Bauplänen überleben. Das nennt man natürliche Selektion. Zusätzlich kann bei der sexuellen Fortpflanzung eine sexuelle Selektion wirken, weil die Individuen beim jeweils anderen Geschlecht bestimmte Ausprägungen wichtiger Merkmale bevorzugen. So sind Männer im Durchschnitt größer als Frauen, weil die meisten Frauen größere Männer bevorzugen.

nach oben Evolutionär bedeutet auf die Evolution bezogen.

nach oben Evolutionstheorie heißt die Theorie, die im Prinzip erklärt, wie zufällige Mutationen und natürliche sowie sexuelle Selektion zur fortwährenden Anpassung der Spezies an ihre sich wandelnden Umwelten.

nach oben Exergon oder exergonisch nennt man eine chemische Reaktion, wenn sie thermodynamisch günstig ist. Das bedeutet, die freie Energie der Produkte niedriger ist als die freie Energie der Edukte, dass deshalb die Hinreaktion von den Edukten zu den Produkten leichter abläuft als die Rückreaktion und dass darum im Gleichgewichtszustand mehr Produkte als Edukte vorhanden sind. Den Begriff exergon sollte man nicht mit dem Begriff exotherm verwechseln.

nach oben Existenz heißt der Zustand, einfach da (vorhanden) zu sein. In der Biologie ist es wichtig zu verstehen, dass Lebewesen als solche existieren können, auch wenn sie potentiell vorübergehend nicht lebendig sind. Sie bleiben Lebewesen, solange sie unter geeigneten äußeren Bedingungen wieder lebendig werden können.

nach oben existieren = da (vorhanden) sein

nach oben Exitus letalis = tödlicher Ausgang, Eintritt des Todes (Dr. Ingrid Schütt-Abraham)

nach oben Exkrement nennt man Produkte menschlicher oder allgemein tierischer Exkretion. Einfacher gesagt sind mit Exkrementen Kot und Urin gemeint.

nach oben Exkretion = Ausscheidung

nach oben Exocytose oder Exozytose nennt man das Ausschleusen von Stoffen aus der Zelle durch Verschmelzung eines Vesikels mit der Zellmembran.

nach oben Exon nennt man einen Abschnitt auf der DNA, welcher nach dem Umkopieren in RNA (Transkription) aus dieser vor dem Ausschleusen aus dem Zellkern nicht heraus geschnitten (Splicing) wird. Exons enthalten die kodierenden und zusätzlich die Sequenzen, die für Regulation der Proteinbiosynthese gebraucht werden.

nach oben Exoskelett bedeutet Außenskelett. Gemeint war damit ursprünglich, dass die Stabilität eines tierischen Organismus nicht auf den Knochen eines inneren Skeletts beruht, sondern auf einer auch Panzer genannten, stabilen äußeren Hülle. Bekannt für ihre Exoskelette sind Bärtierchen, Insekten, Spinnen, Krebse und andere Gliederfüßer. Exoskelette sind aber auch die Schalen von Muscheln und Schnecken. Inzwischen gibt es aber auch künstliche Exoskelette für Menschen.

nach oben Exotherm heißt eine chemische Reaktion, wenn sie bei konstantem Druck und Volumen insgesamt Energie freisetzt, also an die Umgebung abgibt. Setzt eine chemische Reaktion Energie frei, dann erhöht sie dadurch den Anteil der Teilchen der Ausgangsstoffe, die über die notwendige Aktivierungsenergie verfügen und reagieren können. Dadurch beschleunigen sich exotherme chemische Reaktionen selber und man muss ihnen nur anfangs etwas Aktivierungsenergie zuführen. Exotherme chemische Reaktionen können thermodynamisch günstig (exergonisch) oder thermodynamisch ungünstig (endergonisch) sein, weil die Änderung (Δ) der freien Energie (G) nicht nur von der Änderung der inneren Energien (ΔH), sondern auch von der Änderung der Entropie (ΔS) abhängt (ΔG = ΔH - T · ΔS). Bei negativen ΔG spricht man von exergonen, bei positiven ΔG von endergonen chemischen Reaktionen.

nach oben exotisch = ungewöhnlich und besonders, weil aus einem fernen Land stammend

nach oben Exozytose oder Exocytose nennt man das Ausschleusen von Stoffen aus der Zelle durch Verschmelzung eines Vesikels mit der Zellmembran.

nach oben Experiment nennen wir Biologen den Versuch, durch praktisches Handeln mehr über die Natur zu lernen. Zu einem Experiment gehören immer drei Phasen: die Planung, die Durchführung und die Auswertung. Während der Planung überlegt man sich, was man tun könnte, wozu das führen könnte und was man dafür bräuchte. Während der Durchführung baut man nötige Geräte auf, bringt eventuell Lebewesen in Position und beobachtet genau, was passiert. Dabei kann man filmen, die Temperatur und viele andere Werte messen, zählen oder auf andere Weise Daten sammeln. Auf jeden Fall muss während der Durchführung eines Experiments alles ganz genau protokolliert (aufgezeichnet) werden. Schließlich während der Auswertung analysiert man die gewonnenen Daten und überlegt, was sie bedeuten. Wenn man die Bedeutung der Daten verstanden hat, dann hat man quasi der Natur eine Frage gestellt und eine Antwort bekommen. Allerdings werfen diese Antworten meistens mehr neue Fragen auf, als sie alte beantworten.

nach oben experimentell = durch Experimente, auf Experimenten beruhend, mithilfe von Experimenten, ein Experiment riskierend

nach oben experimentieren = ein Experiment durchführen

nach oben Experimentieren = Substantivierung des Verbs experimentieren

nach oben Expertokratie bedeutet Herrschaft von Experten oder das sich Regierende von Experten politische Entscheidungen vorschreiben lassen.

nach oben exponiert = herausgehoben, herausgestellt, ungeschützt, in einer gut einsehbaren Position, erhöhter Aufmerksamkeit ausgesetzt (durch räumliche Lage, gesellschaftliche oder körperliche Stellung, persönliche Situation o. Ä. der Aufmerksamkeit oder möglichen Angriffen, Gefahren wie Krankheiten ausgesetzt)

nach oben Expression im genetischen Sinne bedeutet, daß eine genetische Information sich ausdrückt, indem von ihr codierte Proteine produziert werden.

nach oben Expressionsvektor nennt man einen Vektor, der die in ihn integrierte fremde Nukleinsäure nicht nur vermehrt, sondern in der Wirtszelle auch exprimiert.

nach oben Exprimieren im genetischen Sinne bedeutet, daß eine genetische Information sich ausdrückt, indem von ihr codierte Proteine produziert werden.

nach oben extern = außen oder von außen

nach oben Extinktion = Auslöschung

nach oben extrahieren = eine Extraktion vornehmen

nach oben Extraktion = 1. (chemisch) Herauslösen eines Stoffes aus einem Gemisch durch ein geeignetes Lösungsmittel ; 2. (medizinisch) operatives Herausziehen eines Körperteiles (z.B. Zahn) ; 3. Herausziehen eines Kindes bei der Geburt

nach oben Extrakt nennt man das stoffliche Ergebnis einer chemischen Extraktion, also einen durch ein geeignetes Lösungsmittel aus einem Gemisch heraus gelösten Stoff.

nach oben extravasal = außerhalb des Gefäßsystems (Dr. Ingrid Schütt-Abraham)

nach oben Extravasat = aus dem Gefäßsystem in das umliegende Gewebe übergetretene Blut- oder Lymphflüssigkeit (Dr. Ingrid Schütt-Abraham)

nach oben extrazellulär = außerhalb von Zellen oder zwischen Zellen

nach oben Extrazellulärraum = der die Zellen umgebende Raum innerhalb von Geweben (Dr. Ingrid Schütt-Abraham)

nach oben extremophil = extreme Umweltbedingungen liebend

nach oben Exzitationsstadium = Stadium, das nach Einleitung einer Narkose durchlaufen wird und in dem es zu nicht mehr bewusst erlebten Erregungszuständen kommt, bevor eine für Operationen ausreichende Narkosetiefe erreicht ist (Dr. Ingrid Schütt-Abraham)

Adresse

Nachhilfe

nach oben